Людмила

Проведенная работа: хирургия, ортопедия

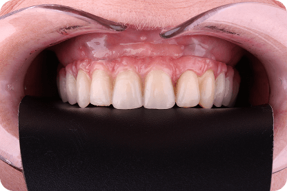
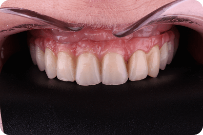
Описание случая

Пациентку привела дочь для того чтобы мы изготовили не съёмную работу, так как в нескольких других клиниках пациентке отказали в лечение из-за  соматических заболеваний и возраста. После тщательного большого планирования мы нашли оптимальный хирургический протокол который отличался микро-инващией. Через два визита пациентке были установлены несъёмные зубы, а также наши инициативы. Было полное преображение и омоложение  пациентки, в результате которого мы скинули 20 лет.

Результат лечения

Хотите так же?

Оставьте свои контактные данные, и наш специалист свяжется с вами в ближайшее время.