Светлана

Проведенная работа: терапия, парадонтология, ортопедия

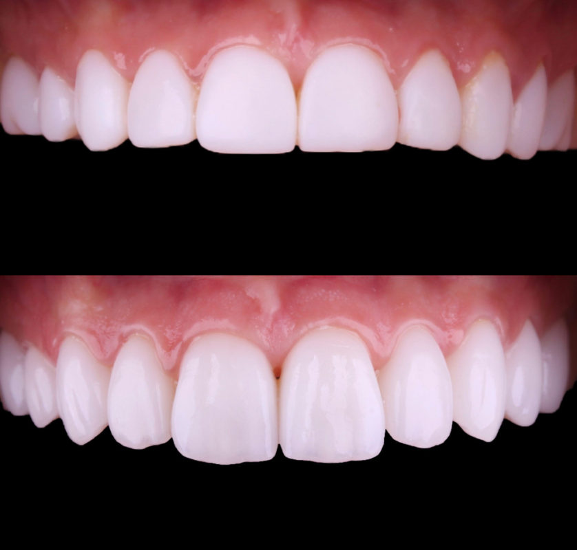
Описание случая

За несколько лет до нашей встречи пациентка установила композитные виниры для того, чтобы изменить цвет и форму зубов, но с течением времени поняла, что ни цвет, ни форма, ни текстура зуба её не устраивают. Задача пациентки была создать максимально природоподобной но при этом яркую интригующую улыбку. В ходе нашей работы композитные виниры были заменены на керамические, также устранены проблемы с мягкими тканями, возникшие в результате эксплуатации композитных виниров.

Результат лечения

Хотите так же?

Оставьте свои контактные данные, и наш специалист свяжется с вами в ближайшее время.