Вера

Проведенная работа: терапия, хирургия, имплантация, ортопедия

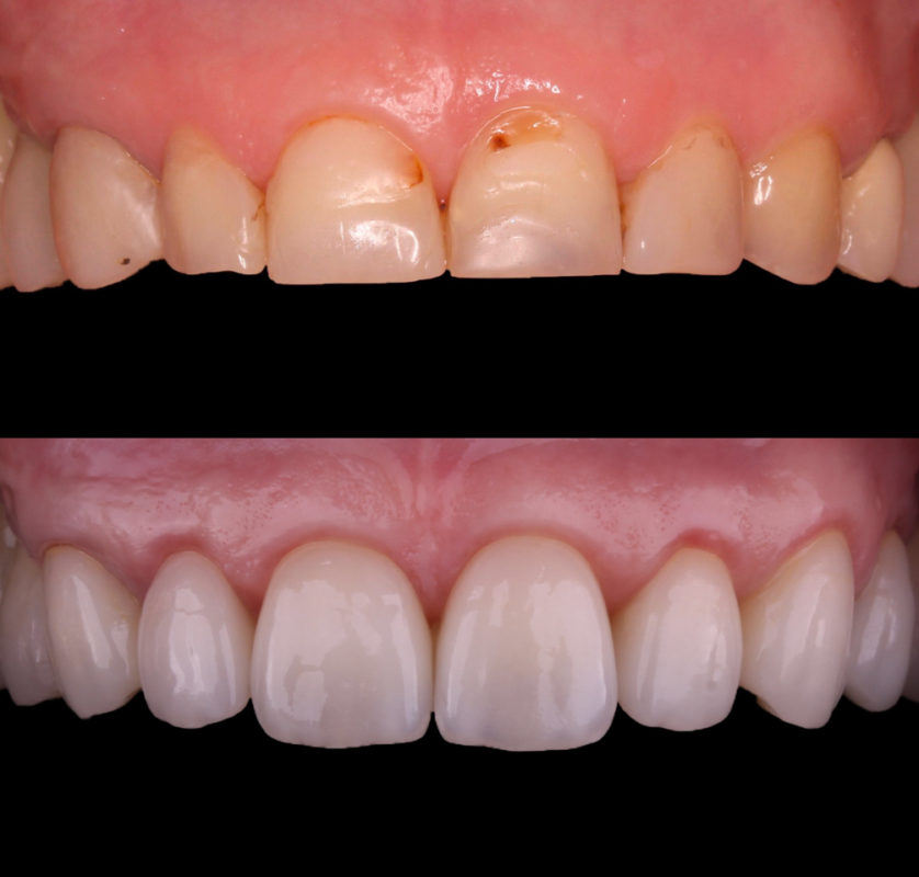
Описание случая

Несколько лет назад мы закончили с пациенткой санацию полости рта восстановили всю жевательную функцию. И вот спустя время пациентка решила восстановить эстетику с одним из лучших техников мира, если учётом всех пожеланий возрастных изменений Зубов типа лица также большого количества маленьких нюансов из которых получаются хорошие результат. Было принято решение о протезировании центральной группы Зубов входящих в линию улыбки керамическими реставрациями на своих зубах. Мы получили идеальный результат подходящий пациентки по всем параметрам.

Результат лечения

Хотите так же?

Оставьте свои контактные данные, и наш специалист свяжется с вами в ближайшее время.